Case Report


Pleomorphic adenoma of orbital ectopic lacrimal gland associated with swollen optic disc

,  ,  ,  

1 Consultant Ophthalmologist, Department of Ophthalmology, North Okkalapa General and Teaching Hospital, Yangon, Myanmar

2 Consultant Pathologist, Department of Pathology, Yangon General Hospital, Yangon, Myanmar

3 Resident Physician, Department of Ophthalmology, National University Hospital, Singapore

Address correspondence to:

Zin May Htoon

Department of Ophthalmology, North Okkalapa General and Teaching Hospital, North Okkalapa Township, Yangon,

Myanmar

Message to Corresponding Author


Article ID: 100011Z17ZH2019

doi: 10.5348/100011Z17ZH2019CR

Access full text article on other devices

Access PDF of article on other devices

How to cite this article

Htoon ZM, Thant KK, Zin LS, Naing T. Pleomorphic adenoma of orbital ectopic lacrimal gland associated with swollen optic disc. J Case Rep Images Opthalmol 2019;2:100011Z17ZH2019.

ABSTRACT


Introduction: Pleomorphic adenoma is the most common benign epithelial neoplasm of the lacrimal gland. This is the case report of a 63-year-old lady with pleomorphic adenoma of ectopic lacrimal gland in the superomedial part of orbit.

Case Report: A 63-year-old lady presented with gradually increasing non-axial proptosis of left eye for two years duration. There was downwards and outwards displacement of left eye ball by a hard, palpable mass in the superomedial part of left orbit. The left eye showed relative afferent pupillary defect and swollen optic disc. Computerized tomography demonstrated an extraconal, well-circumscribed mass lesion occupying superomedial part of the left orbit. Complete surgical excision of tumor was performed through anterior orbitotomy. The histopathology showed an encapsulated tumor composed of nests and strands of cuboidal-shaped epithelial cells and myoepithelial cells supported by loose myxoid and hyalinized calcified stroma. The mass was diagnosed “a pleomorphic adenoma arising from ectopic lacrimal gland.”

Conclusion: To our knowledge, this is the first case of extraconal orbital pleomorphic adenoma arising from ectopic lacrimal gland associated with signs of optic neuropathy.

Keywords: Ectopic lacrimal gland, Optic disc swelling, Orbital tumor, Pleomorphic adenoma

Introduction


Ectopic lacrimal gland is a rare condition which is one of the choristomata of lacrimal gland tissue outside the lacrimal gland fossa. In the literature review, ectopic lacrimal gland is most commonly seen in bulbar conjunctiva of 115 cases, 35 cases as orbital lesion, 8 cases in eyelid and canthal region, and 11 intraocular lesions [1],[2],[3],[4],[5]. There was also reported of three cases of ectopic lacrimal in lacrimal sac causing nasolacrimal duct blockage, one case in intramuscular of inferior rectus muscle [6],[7],[8],[9]. Pleomorphic adenoma is the most common benign epithelial neoplasm of the lacrimal gland. There were six reported cases of pleomorphic adenoma arising from ectopic lacrimal gland. This is the case report of a 63-year-old lady with pleomorphic adenoma of ectopic lacrimal gland in the superomedial part of orbit.

Case Report


A 63-year-old lady presented with gradually increasing non-axial proptosis of left eye for two years duration. There was downwards and outwards displacement of left eye ball by a hard, palpable mass in the superomedial part of left orbit (Figure 1).

Examination of left eye showed, corrected visual acuity of counting fingers 3 feet, relative afferent pupillary defect, superior choroidal folds, and optic disc swelling. Examination of right eye was normal. Computerized tomography demonstrated an extraconal, wellcircumscribed mass lesion occupying superomedial part of the left orbit 2.3×2.3×3.7 cm in greatest dimensions with some areas of calcification and mild heterogeneous contrast enhancement. There was bony excavation of roof and medial wall of left orbit and indentation of superomedial globe (Figure 2A–C).

Complete surgical excision of tumor with its capsule was performed through anterior orbitotomy. No connection between the tumor and lacrimal gland was noted intraoperatively (Figure 3).

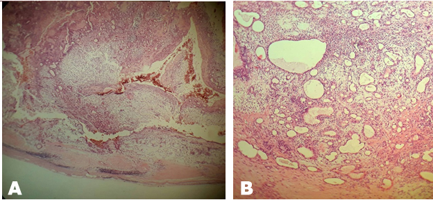
The histopathology showed an encapsulated tumor composed of nests and strands of cuboidal-shaped epithelial cells and myoepithelial cells supported by loose myxoid and hyalinized calcified stroma. The mass was diagnosed “a pleomorphic adenoma arising from ectopic lacrimal gland” (Figure 4).

Figure 1: Clinical photograph shows left eye non-axial proptosis.

Share Image:

Figure 2: (A) Axial, (B) Coronal, and (C) Sagittal sections of CT orbit demonstrate a large, well-circumscribed, extraconal mass in superomedial orbit.

Share Image:

Figure 3: (A) The tumor during removal. (B) After removal of tumor measuring 4×2.5×2 cm.

Share Image:

Figure 4: Hematoxylin and Eosin staining histology tumor showing myoepithelial cells supported by loose myxoid and hyalinized calcified stroma (A) 40x magnification and (B) 400x magnification.

Share Image:

Discussion


Ectopic lacrimal gland tissue is the presence of lacrimal gland tissue outside the lacrimal gland fossa excluding the accessory glands of Krause and Wolfring [5],[9],[10],[11]. Ectopic lacrimal gland tissue is found most commonly in bulbar conjunctiva. It is unusual to find in retrobulbar region. It can also be found in caruncle, outer canthus, lower lid, and intraocular regions [10],[11],[12].

At the two months of embryonic period, basal conjunctiva cells mass give rise to lacrimal gland. These cells mass gradually developed to gain final size and position in the lacrimal gland fossa. This tissue transition was completed at three years of age. During the development, part of the lacrimal gland developed separately as ectopic lacrimal gland. Most of the ectopic lacrimal glands did not connect to main lacrimal gland [10],[12],[13].

Pleomorphic adenoma is the commonest epithelial tumor of the lacrimal gland and has a high tendency to occur in the orbital lobe of lacrimal gland and rarely occur in accessory lacrimal gland. The clinical presentation of ectopic lacrimal gland varies depending on the location of the ectopic tissue [10],[12],[13]. In literature six patients have been reported for pleomorphic adenoma arising from ectopic lacrimal gland. One pleomorphic adenoma was detected in the upper eyelid, one in the subconjunctival space of the lateral fornix, one in the sub-brow position, and three within the orbit [10],[12],[13],[14],[15]. Complete surgical excision with intact capsule is necessary to decrease the chance of recurrence [11],[15]. There are no reported cases of pleomorphic adenoma arising from ectopic lacrimal gland affecting the optic nerve.

In our patient, an extraconal, well-circumscribed lesion at supero-medial part of left orbit caused indentation of the left globe, choroidal fold, and optic disc swelling. The tumor was excised completely within its capsule and no connection was noted with the lacrimal gland during surgery. Histologically the mass was confirmed as pleomorphic adenoma arising from ectopic lacrimal gland.

Conclusion


To our knowledge, this is the first case of extraconal orbital pleomorphic adenoma arising from ectopic lacrimal gland associated with signs of optic neuropathy.

REFERENCES


1.

Green WR, Zimmerman LE. Ectopic lacrimal gland tissue: Report of eight cases with orbital involvement. Arch Ophthalmol 1967;78(3):318–27. [CrossRef] [Pubmed]   Back to citation no. 1  

2.

Alyahya GA, Bangsgaard R, Prause JU, Heegaard S. Occurrence of lacrimal gland tissue outside the lacrimal fossa: Comparison of clinical and histopathological findings. Acta Ophthalmol Scand 2005;83(1):100–3. [CrossRef] [Pubmed]   Back to citation no. 1  

3.

Shields JA, Eagle RC Jr, Shields CL, De Potter P, Poliak JG. Natural course and histopathologic findings of lacrimal gland choristoma of the iris and ciliary body. Am J Ophthalmol 1995;119(2):219–24. [CrossRef] [Pubmed]   Back to citation no. 1  

4.

Sakurai H, Mitsuhashi N, Hayakawa K, et al. Ectopic lacrimal gland of the orbit. J Nucl Med 1997;38(9):1498–500. [Pubmed]   Back to citation no. 1  

5.

Guy JR, Quisling RG. Ectopic lacrimal gland presenting as an orbital mass in childhood. AJNR Am J Neuroradiol 1989;10(5 Suppl):S92. [Pubmed]   Back to citation no. 1  

6.

Wang Y, Jakobiec FA, Zakka FR, Lee NG. A lacrimal gland choristoma of the lacrimal sac. Ophthalmic Plast Reconstr Surg 2018;34(1):e3–6. [Pubmed]   Back to citation no. 1  

7.

Singh S, James C, Curragh DS, Selva D. Lacrimal gland choristoma in lacrimal sac as a probable cause of nasolacrimal duct obstruction. Clin Exp Ophthalmol 2019;47(5):675–7. [CrossRef] [Pubmed]   Back to citation no. 1  

8.

Ali MJ, Mishra DK, Naik MN. Ectopic lacrimal gland in a complex choristoma involving the lacrimal sac fossa. Saudi J Ophthalmol 2017;31(3):162–4. [CrossRef] [Pubmed]   Back to citation no. 1  

9.

Pujari A, Ali MJ, Vemuganti GK, Naik MN. Intramuscular ectopic lacrimal gland cyst masquerading as myocysticercosis. Ophthalmic Plast Reconstr Surg 2015;31(2):e45–7. [CrossRef] [Pubmed]   Back to citation no. 1  

10.

Jadhav DS, Pawar PS, Gadkari RU, Giri A. Pleomorphic adenoma of retrobulbar ectopic lacrimal gland: A rare occurrence. Pathology Update: Trop J Path Micro 2017;3(4):416–20.   Back to citation no. 1  

11.

Misra S, Bhandari A, Misra N, Gogri P, Mahajan S. Pleomorphic adenoma of a deep orbital ectopic lacrimal gland. Orbit 2016;35(5):295–7. [CrossRef] [Pubmed]   Back to citation no. 1  

12.

Patyal S, Banarji A, Bhadauria M, Gurunadh VS. Pleomorphic adenoma of a subconjunctival ectopic lacrimal gland. Indian J Ophthalmol 2010;58(3):245–7. [CrossRef] [Pubmed]   Back to citation no. 1  

13.

Alsuhaibani AH. Slow-growing large pleomorphic adenoma of ectopic lacrimal gland tissue in the upper eyelid. Saudi J Ophthalmol 2012;26(4):453–5. [CrossRef] [Pubmed]   Back to citation no. 1  

14.

Mindlin A, Lamberts D, Barsky D. Mixed lacrimal gland tumor arising from ectopic lacrimal gland tissue in the orbit. J Pediatr Ophthalmol 1977;14(1):44–7 [Pubmed]   Back to citation no. 1  

15.

Wajda BN, Mancini R, Evers B, Nick Hogan R. A rare case of atypical pleomorphic adenoma arising from periocular ectopic lacrimal gland. Int Ophthalmol 2019;39(7):1617–19. [CrossRef] [Pubmed]   Back to citation no. 1  

SUPPORTING INFORMATION


Acknowledgments

We thank Htar Htar, Consultant Radiologist, Department of Radiology, Yangon General Hospital, Yangon, Myanmar.

Author Contributions

Zin May Htoon - Conception of the work, Design of the work, Acquisition of data, Analysis of data, Drafting the work, Revising the work critically for important intellectual content, Final approval of the version to be published, Agree to be accountable for all aspects of the work in ensuring that questions related to the accuracy or integrity of any part of the work are appropriately investigated and resolved.

Ko Ko Thant - Conception of the work, Design of the work, Acquisition of data, Analysis of data, Drafting the work, Revising the work critically for important intellectual content, Final approval of the version to be published, Agree to be accountable for all aspects of the work in ensuring that questions related to the accuracy or integrity of any part of the work are appropriately investigated and resolved.

Le’ Shwe Zin - Conception of the work, Design of the work, Acquisition of data, Analysis of data, Drafting the work, Revising the work critically for important intellectual content, Final approval of the version to be published, Agree to be accountable for all aspects of the work in ensuring that questions related to the accuracy or integrity of any part of the work are appropriately investigated and resolved.

Thet Naing - Conception of the work, Design of the work, Acquisition of data, Analysis of data, Drafting the work, Revising the work critically for important intellectual content, Final approval of the version to be published, Agree to be accountable for all aspects of the work in ensuring that questions related to the accuracy or integrity of any part of the work are appropriately investigated and resolved.

Guaranter of Submission

The corresponding author is the guarantor of submission.

Source of Support

None

Consent Statement

Written informed consent was obtained from the patient for publication of this article.

Data Availability

All relevant data are within the paper and its Supporting Information files.

Conflict of Interest

Authors declare no conflict of interest.

Copyright

© 2019 Zin May Htoon et al. This article is distributed under the terms of Creative Commons Attribution License which permits unrestricted use, distribution and reproduction in any medium provided the original author(s) and original publisher are properly credited. Please see the copyright policy on the journal website for more information.