Case Series


Abducens nerve palsy in patients with metastatic carcinoma

,  ,  ,  

1 Department of Ophthalmology, Faculty of Medicine, Hasanuddin University, Hasanuddin University Hospital, DR. Wahidin Sudirohusodo, Makassar, Indonesia

Address correspondence to:

Yunita Mansyur

Department of Ophthalmology, Faculty of Medicine, Hasanuddin University, Hasanuddin University Hospital, DR. Wahidin Sudirohusodo Hospital,

Indonesia

Message to Corresponding Author


Article ID: 100007Z17YM2018

doi: 10.5348/100007Z17YM2018CS

Access full text article on other devices

Access PDF of article on other devices

How to cite this article

Mansyur Y, Handayani S, Umar BT, Pagarra H. Abducens nerve palsy in patients with metastatic carcinoma. J Case Rep Images Opthalmol 2018;1:100007Z17YM2018.

ABSTRACT


Introduction: Abducens nerve palsy is a nerve disorder that occurs when the sixth cranial nerve is impaired. Signs and symptoms may include double vision, headache, and pain around the eyes. There are several conditions that can cause this problem; one of them is a compression of tumor. We report two cases of abducens nerve palsy in patients with metastatic carcinoma.

Case Report: Two patients were referred to ophthalmology department presented with double vision and marked limitation of abduction. Both patients had a history of tumors, namely breast and cervix carcinoma. Ophthalmology examination showed normal results, except that we found papiledema on both eyes of one patient. Head CT-Scan with contrast revealed intracranial mass, possibly a metastatic lesion from carcinoma which compressed abducens nerve directly or indirectly.

Conclusion: Abducens nerve palsy may be a comparative event of intracranial mass. Determining the cranial nerve depends on its anatomic location of the tumors. History of disease and imaging are helpful in diagnosis. Cranial nerve palsy may increase awareness of intracranial condition in patients with carcinoma.

Keywords: Abducens nerve palsy, Intracranial tumor

Introduction


Sixth (Abducens) nerve palsy is the most common ocular motor paralysis. The abducens (sixth) cranial nerve controls the lateral rectus muscle, which abducts the eye. Abducens nerve palsy causes an esotropia due to the unopposed action of the antagonistic medial rectus muscle. The affected eye turns in towards the nose and is unable to abduct properly. The deviation is constant and is usually greater at distance fixation than at near. The esotropia is also worse when the patient is looking towards the affected side [1],[2].

Sixth nerve palsy presents as horizontal diplopia that worsens on ipsilateral gaze, correlating with an abduction deficit and esodeviation that increases with gaze to the affected side [3]. Patients classically present with binocular horizontal diplopia, and clinical examination would reveal an abduction deficit in the affected eye [4]. Some causes for abducens nerve palsy in adults including vascular lesions are: diabetes mellitus, hypertension, Trauma, Neoplasm (Metastatic) and Infection [1]. Patel et al concluded that neoplasm was the least cause of abducens nerve palsy compared to other risk factors [5]. This article discusses two unusual cases of which neoplasm was the cause of abducens nerve palsy.

CASES SERIES


Case 1

A 49-year-old woman with breast carcinoma was referred from oncology with double vision on left gaze in the last two weeks. She was diagnosed as having breast carcinoma since two years ago and was treated with chemo-radiation therapy and hormonal therapy. She complained headache, fever and severe vomiting. History of head trauma and decrease of visual acuity were denied. Ophthalmic examination showed best corrected visual acuity were 20/25 in both eyes, anterior segment was within normal limits. There was restriction in abduction on left eye corresponding to abducens nerve palsy (Figure 1). Posterior segments (funduscopy) of both eyes were normal (Figure 2A). We diagnosed her with left abducens nerve palsy. Non-contrast head Computed Tomography (CT) scan on axial slice showed hyperdense lesion with irregular firm edges, sized 2x1cm in the right frontal lobe and 2x2,4cm in the right parietal lobe. The lesion spreads and destructs the right frontal and parietal bones. CTScan result suggested intracranial and bone metastasis (Figure 2B).

Case 2

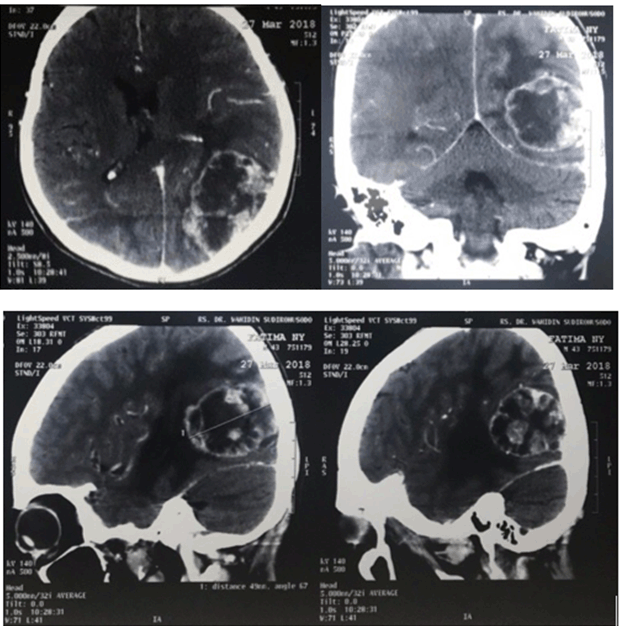
A 41-year-old woman with cervix carcinoma was referred from Gynaecology department with sudden decrease of vision and family noticed she had a squint from last three days. She complained a severe headache and vomiting. There was history of chemotherapy for two cycles and was discontinued about two years ago. Visual acuities were hand movement on both eyes, there was limitation of abduction on right eye (Figure 3). Anterior segments was normal. Funduscopy showed papilledema on both eyes (Figure 4). Head Multiple Slice Computed Tomography (MSCT) scan with contrast on axial slice showed heterogenous lesion and enhanced with contrast with irregular solid, firm edges, sized 4.2x5.8x4 cm, with focal edema around which pushed and narrowed the left lateral ventricle, which caused midline shift 0.5 cm to the right in parietooccipital lobe sinistra suggesting anaplastic astrocytoma (Figure 5).

Figure 1: Clinical photographs showing 9-gaze position, there is a limitation of abduction on left, corresponding to a left abducen nerve palsy.

Share Image:

Figure 2: (A) Funduscopy photographs of the patient showed normal posterior segments on both eyes. (B) Hyperdense lesion with irregular firm edges, sized 2x1cm in the right frontal lobe and 2x2.4 cm in the right parietal lobe (arrow).

Share Image:

Figure 3: Clinical photographs showing 9-gaze position, limitation of abduction on right eye corresponding to a right abducens nerve palsy.

Share Image:

Figure 4: Funduscopy showed papilledema on both eyes.

Share Image:

Figure 5: Multiple slice computed tomography scan with contrast showed parietooccipital lobes mass, suggestive of anaplastic astrocystoma (arrow).

Share Image:

Discussion


The abducens nerve is the longest cranial nerve. It controls the ipsilateral eye abduction/horizontal gaze. The abducens nerve dysfunction can occur at any point of from the pons to the lateral rectus muscle, resulting in sixth nerve palsy. The abducens nerve begins in the pons before leaving the brainstem. At this point, it travels into the subarachnoid space and goes along the skull at the clivus. It then moves to the basal skull at the petrous apex of the temporal bone where it enters the cavernous sinus. In the cavernous sinus, the internal carotid was located medially as to the abducens nerve. Then the abducens nerve enters the orbit through the superior orbital fissure and innervates the lateral rectus muscle, resulting in eye abduction [6].

Causes of abducens nerve palsy including Neoplasm: benign, malignant, and metastatic. The incidence of brain metastasis is relatively frequent in the presence of systemic malignancy, ranging 8–15% [7],[8]. However, the occurrence of a brainstem metastasis is relatively rare. Only about 5–7% of brain metastasis would present in the brainstem [7],[8],[9].

Abducens nerve palsy patients usually present with horizontal diplopia, worse in the distance, and esotropia in primary gaze. Patients may also present with a headturn to minimize diplopia. Examination for an abducens nerve palsy includes documenting any papilledema, examining the ocular motility, evaluating the eyelids and pupils, and excluding involvement of other cranial nerves (V, VII, VIII) [10].

In our cases, patients had pre-existing malignancy; breast carcinoma and cervix carcinoma, who complained of misalignment of their eyes due to restriction of abduction corresponding to abducens nerve palsy. Both patients were found to have an intracranial mass from neuroimaging. In the setting of a positive history of malignancy, as in these cases, a metastatic tumour would be a primary consideration.

Due to the known aggressive nature of a metastatic lesion, imaging studies were immediately undertaken, which revealed a lesion that was either a metastasis or an astrocytoma. Stereotactic biopsy was done to determine whether this was a primary brain tumour or a metastatic lesion, as this would greatly influence the choice of subsequent treatment [11],[12].

In this case we found that first patients with breast carcinoma had better visual acuity compared to the second patient. This can occur due to the size of the intracranial lesions. Neuroimaging results support this finding, smaller lesion and superficial location for intracranial mass in the first patient may have not increasethe intracranial pressure while in the second patient with cervix carcinoma, the intracranial lesion is larger with a focal edema and constrict the ventricle results a midline shift. All of which would increase the intracranial pressure thus papilledema occurs.

The possibility of a primary tumor could not be completely ruled out. However, 30% of patients with breast cancer strongly supported the possibility of a metastatic lesion. Metastatic brain tumors have been reported to be at least four times as common as primary brain tumors, and breast cancer is known to be the second most common cause of brain metastasis the incidence of brainstem involvement in patients with breast cancer metastasis to the brain was as high as 12.4%, higher than that in patients with any other type of cancer [13].

The sixth nerve is susceptible to injury from shearing forces of head trauma or elevated intracranial pressure. The injury occurs where the sixth nerve enters the cavernous sinus through the Dorello canal (the opening below the petro-clinoid ligament). Orbital lesions also may cause an abducens nerve palsy. These include neoplasm, inflammatory disease, infection, or trauma.

Conclusion


Abducens nerve palsy may be a comparative event of intracranial metastatic carcinoma. Determining the cranial nerve depends on its anatomy location of the metastasis. Past history of disease and imaging are helpful in diagnosis. Cranial nerve palsy may increase awareness of metastatic condition in patients with carcinoma

REFERENCES


1.

Triantafilou D, Suh DW, Evans CT, Akkara JD, Kedar S. Abducens nerve palsy. American Academy of Ophthalmology 2015.   Back to citation no. 1  

2.

Azarmina M, Azarmina H. The six syndromes of the sixth cranial nerve. J Ophthalmic Vis Res 2013 Apr;8(2):160–71. [Pubmed]   Back to citation no. 1  

3.

Lueder GT,Archer SM, Hered RW, et al. Basic and clinical science course, Section 6. Pediatric Ophthalmology and Strabismus. USA: American Academy of Opthalmology EBO; 2017. p. 306–8.   Back to citation no. 1  

4.

Borchert MS. Principles and techniques of the examination of the ocular motility and alignment. In: Miller NR, Newman NJ, Biousse V, Kerrison JB, editors. Walsh and Hoyt’s Clinical Neuro Ophthalmology. 6ed. Philadelphia: Lippincott Williams and Wilkins; 2005. p. 969–1040.   Back to citation no. 1  

5.

Patel SV, Mutyala S, Leske DA, Hodge DO, Holmes JM. Incidence, associations, and evaluation of sixth nerve palsy using a population-based method. Ophthalmology 2004 Feb;111(2):369–75. [CrossRef] [Pubmed]   Back to citation no. 1  

6.

Huang ZL, Chang CN, Sheu MM, Tsai RK. Unilateral abducens nerve palsy in increased intracranial pressure paused by brain neoplasm. Tzu Chi Medical Journal 2007;19(4):253–6.   Back to citation no. 1  

7.

Kased N, Huang K, Nakamura JL, et al. Gamma knife radiosurgery for brainstem metastases: The UCSF experience. J Neurooncol 2008 Jan;86(2):195–205. [CrossRef] [Pubmed]   Back to citation no. 1  

8.

Schouten LJ, Rutten J, Huveneers HA, Twijnstra A. Incidence of brain metastases in a cohort of patients with carcinoma of the breast, colon, kidney, and lung and melanoma. Cancer 2002 May 15;94(10):2698–705. [CrossRef] [Pubmed]   Back to citation no. 1  

9.

Barnholtz-Sloan JS, Sloan AE, Davis FG, Vigneau FD, Lai P, Sawaya RE. Incidence proportions of brain metastases in patients diagnosed (1973 to 2001) in the etropolitan Detroit Cancer Surveillance System. J Clin Oncol 2004 Jul 15;22(14):2865–72. [CrossRef] [Pubmed]   Back to citation no. 1  

10.

Azarmina M, Azarmina H. The six syndromes of the sixth cranial nerve. J Ophthalmic Vis Res 2013 Apr;8(2):160–71. [Pubmed]   Back to citation no. 1  

11.

Al-Mehdi AB, Tozawa K, Fisher AB, Shientag L, Lee A, Muschel RJ. Intravascular origin of metastasis from the proliferation of endothelium-attached tumor cells: A new model for metastasis. Nat Med 2000 Jan;6(1):100–2. [CrossRef] [Pubmed]   Back to citation no. 1  

12.

Reyes KB, Lee HY, Ng I, Goh KY. Abducens (sixth) nerve palsy presenting as a rare case of isolated brainstem metastasis from a primary breast carcinoma. Singapore Med J 2011 Nov;52(11):e220–2. [Pubmed]   Back to citation no. 1  

13.

Han SB, Kim JH, Hwang JM. Presumed metastasis of breast cancer to the abducens nucleus presenting as gaze palsy. Korean J Ophthalmol 2010 Jun;24(3):186–8. [CrossRef] [Pubmed]   Back to citation no. 1  

SUPPORTING INFORMATION


Author Contributions

Yunita Mansyur - Substantial contributions to conception and design, Drafting the article, Revising it critically for important intellectual content, Final approval of the version to be published

Sri Handayani - Substantial contributions to conception and design, Drafting the article, Revising it critically for important intellectual content, Final approval of the version to be published

Batari Todja Umar - Drafting the article, Revising it critically for important intellectual content, Final approval of the version to be published

Halimah Pagarra - Drafting the article, Revising it critically for important intellectual content, Final approval of the version to be published

Guaranter of Submission

The corresponding author is the guarantor of submission.

Source of Support

None

Consent Statement

Written informed consent was obtained from the patient for publication of this case series.

Data Availability

All relevant data are within the paper and its Supporting Information files.

Conflict of Interest

Authors declare no conflict of interest.

Copyright

© 2018 Yunita Mansyur et al. This article is distributed under the terms of Creative Commons Attribution License which permits unrestricted use, distribution and reproduction in any medium provided the original author(s) and original publisher are properly credited. Please see the copyright policy on the journal website for more information.